A bunion is a structural deformity in the foot that causes a bony bump to form at the base of the big toe joint. While there are conservative treatments that can slow the progression of a bunion, surgery is the only way to "fix" the deformity.. Research shows that 33% of patients who have undergone traditional bunion surgery are left dissatisfied.. Bunions are a common but painful deformity; however it symptoms might not show up in their early stage of formation. Bunions' symptoms are more noticeable when the deformity gets worst, with some types of shoes and during certain activity, like walking. Some of the symptoms include: A red swelling bump around the big toe joint.

Best Bunion Surgeon New York Success Story Patricia (Dr Neal Blitz) YouTube

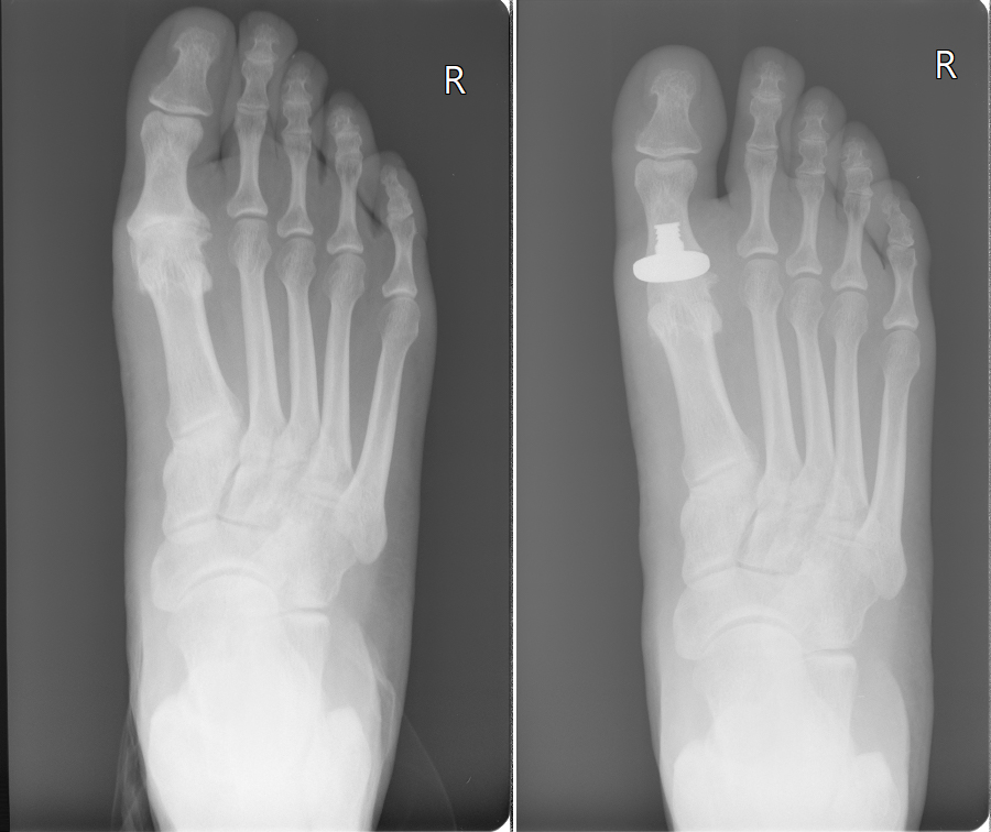
Bunion Surgeon Specialist NYC Best Bunion Surgeon Brooklyn

Picking the best bunion surgeon Bunion Institute of Los Angeles

After Your Bunion Surgery Alpine Foot Specialists

Bunion Advanced Care Physical Therapy

Bunion Removal Surgery Foot & Ankle Institute of the West

Pin on Health

Bunions Archives Dr. Nicholas Campitelli Akron Podiatrist, Foot and Ankle Surgeon

Will I have a scar after bunion surgery? Dr. Nicholas Campitelli

Best Bunion Surgeon in Los Angeles Burbank Podiatrist Los Angeles Foot & Ankle Center
![6 Best Bunion Surgery Pros & Cons [Get the FASTEST Recovery Time] YouTube 6 Best Bunion Surgery Pros & Cons [Get the FASTEST Recovery Time] YouTube](https://i.ytimg.com/vi/xanqYxYnWJE/maxresdefault.jpg)
6 Best Bunion Surgery Pros & Cons [Get the FASTEST Recovery Time] YouTube

The best bunion surgeon and why! City Footcare NYC NYC's Top Podiatrists

Bunion Foot Surgery Recovery Time Bunion Surgery

Surgical Correction of Bunions Sydney Foot & Ankle Surgeon

Best Bunion Surgeon Near me How to Find the Best One?

Bunion Surgeon Specialist NYC Best Bunion Surgeon Brooklyn

Best Bunion Surgeon NYC (Manhattan) Call (212) 6581917 YouTube

Finding the Best Bunion Surgeon What You Need to Know

Top bunion surgeon YouTube

Bunion Surgery, Treatment New York, Lenox Hill, Manhattan, NY
Lapiplasty Bunion Surgery can cost anywhere between approximately $3,500 and more than $12,000, depending on factors like geographical location and the patient's health needs.. These steps are crucial for achieving the best possible outcome and returning to normal activities with less discomfort. Preparing for Lapiplasty Foot Surgery and.. 586 Eglinton Avenue E. Suite 501 Toronto, Ontario M4P1P2 Local: 416-486-9917 Toll free: (877) 456-3338.. To find out which bunion surgery would be best for you, please call my Toronto podiatry office for a private consultation at 416-486-9917. Patient Education Library.